Czym właściwie jest implant?
Wiele osób myśli o implancie jako o „nowym zębie”. To uproszczenie. Implant to niewielka, tytanowa śruba, która zastępuje korzeń zęba. Tytan jest materiałem biokompatybilnym, co oznacza, że organizm go nie odrzuca. Wręcz przeciwnie – zachodzi zjawisko osteointegracji, czyli trwałego zrośnięcia się metalu z kością szczęki lub żuchwy. Dzięki temu zyskujemy solidny fundament pod koronę protetyczną, która do złudzenia przypomina naturalny ząb.
Implantologia


Dlaczego to tak ważne dla zdrowia?
Brak choćby jednego zęba to nie tylko problem estetyczny. Nasz organizm działa logicznie: jeśli kość nie czuje nacisku, który normalnie przenosi korzeń zęba podczas jedzenia, zaczyna zanikać (atrofia). Proces ten można porównać do nieużywanego mięśnia. Implant jako jedyne rozwiązanie hamuje ten proces, stymulując kość i zachowując naturalny owal twarzy.
Jak implantologia zmienia życie?
Wyobraźcie sobie Państwo powrót do pełnej swobody:
Koniec z ograniczeniami w diecie: Możecie Państwo znowu jeść twarde owoce, orzechy czy pieczywo bez obaw, że proteza się przesunie.
Naturalna wymowa: Braki w uzębieniu często powodują seplenienie. Implanty przywracają pełną sprawność aparatu mowy.
Bezpieczeństwo sąsiednich zębów: W przeciwieństwie do tradycyjnych mostów, przy implantach nie musimy szlifować zdrowych, sąsiednich zębów.
Inwestycja w implanty to inwestycja w spokój na lata. Naszym celem jest przeprowadzenie Państwa przez ten proces bezboleśnie i w pełnym komforcie, byście mogli zapomnieć o kompleksach i cieszyć się życiem bez barier.


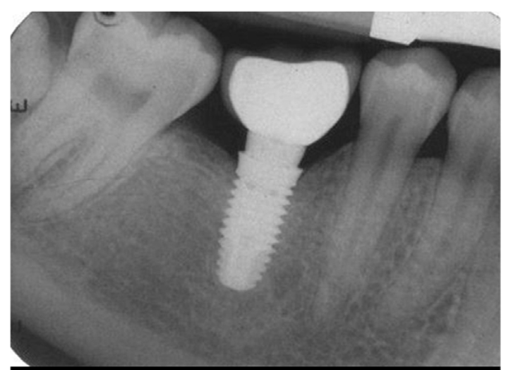
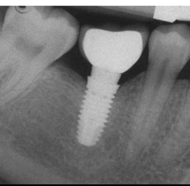
Etap 1: Diagnostyka i planowanie
Zanim dotkniemy skalpela, musimy wykonać zdjęcie pantomograficzne lub tomografię komputerową (CBCT). Na tym etapie oceniamy gęstość kości i odległość od ważnych struktur, takich jak zatoki szczękowe czy nerwy, oraz planujemy długość i grubość implantu, oraz kontakty z zębami przeciwstawnymi
Etap 2: Zabieg chirurgiczny (wszczepienie)
To moment, w którym w znieczuleniu miejscowym umieszczamy tytanowy implant w kości. Zabieg trwa krótko i jest całkowicie bezbolesny. Po jego zakończeniu implant jest często niewidoczny w ustach, ponieważ zostaje przykryty dziąsłem na czas gojenia.
Etap 3: Osteointegracja (gojenie)
To najważniejszy etap, który trwa zazwyczaj od 3 do 6 miesięcy. W tym czasie kość dosłownie „obrasta” implant, czyniąc go integralną częścią Państwa ciała. W tym czasie pacjent może nosić uzupełnienie tymczasowe.
Etap 4: Odsłonięcie implantu i protetyka
Gdy implant jest stabilny, odsłaniamy go i zakładamy tzw. śrubę gojącą, która kształtuje dziąsło. Po około 2 tygodniach lub skanujemy jamę ustną skanerem 3D, a technik wykonuje ostateczną koronę, którą cementujemy lub przykręcamy do implantu.
Jak wygląda proces leczenia? Zazwyczaj tak:
Co potem?
Wszczepienie implantu to 50% sukcesu, drugie 50% to to, jak będziesz o niego dbać w domu.
Choć implant nie może mieć próchnicy, tkanki wokół niego są narażone na stany zapalne (tzw. peri-implantitis), które mogą doprowadzić do utraty Twojej inwestycji.
Oto najważniejsze zasady pielęgnacji, które pozwolą Ci cieszyć się nowym uśmiechem przez dziesięciolecia:
1. Higiena to podstawa (ale inna niż zwykle)
Implanty wymagają większej precyzji niż naturalne zęby. Kluczowe jest miejsce, w którym korona styka się z dziąsłem.
Szczoteczka: Możesz używać dowolnej, byle skutecznie. Manualne zazwyczaj są najdelikatniejsze; elektryczne lub soniczne skuteczniej usuwają biofilm bakteryjny z trudno dostępnych miejsc.
Nici dentystyczne (SuperFloss): Zwykła nić może nie wystarczyć. Używaj specjalistycznych nici z pogrubioną, gąbczastą częścią, która idealnie doczyszcza przestrzeń pod koroną implantu.
Szczoteczki międzyzębowe (Interdental): To Twoi najlepsi przyjaciele. Dobierzemy odpowiedni rozmiar, abyś mógł bezpiecznie czyścić przestrzenie między implantem a sąsiednimi zębami.
2. Higienizacja profesjonalna (Gabinet)
Nawet jeśli idealnie szczotkujesz zęby, raz na 6 miesięcy musisz pojawić się u nas na profesjonalny przegląd i czyszczenie. Używamy do tego specjalnych, narzędzi i szczególnie precyzyjnie oczyścimy okolice implantu.
3. Styl życia ma znaczenie
Palenie tytoniu: To największy wróg implantów. Nikotyna zwęża naczynia krwionośne, co pogarsza ukrwienie dziąseł i drastycznie zwiększa ryzyko odrzucenia wszczepu. Jeśli palisz, to najlepszy moment, by rzucić – dla zdrowia i dla Twojego nowego uśmiechu.
Dieta: Przez pierwsze miesiące po zabiegu unikaj bardzo twardych pokarmów (jak popcorn czy twarde cukierki) bezpośrednio na implancie, dopóki kość nie osiągnie pełnej twardości.
4. Wizyty kontrolne
Co pewien czas wykonujemy kontrolne zdjęcie RTG, aby sprawdzić stan kości wokół implantu. To pozwala nam wykryć ewentualne zmiany, zanim zaczną dawać objawy bólowe.




Mokodental
Nowoczesna opieka stomatologiczna
© 2025. All rights reserved.
02-586 Warszawa ul Dąbrowskiego 75A
